(Hy hữu) Nhổ răng sâu, răng văng vào phế quản phải đi cấp cứu

19:43 04/07/2020
Bác sĩ chuyên khoa II Nguyễn Minh Tiến, Phó Giám đốc Bệnh viện Nhi Đồng TP Hồ Chí Minh cho biết bệnh viện tiếp nhận một trường hợp bé gái H.T.N (8 tuổi, ngụ tỉnh Hậu Giang) bị chiếc răng cắm sâu vào thành phế quản khi nhổ răng tại một phòng nha ở địa phương.


Bệnh sử ghi nhận cách nhập viện 10 ngày, trẻ được người nhà đưa đi nhổ răng sâu. Lúc nha sĩ dùng kềm nha khoa, thực hiện động tác nhổ thì răng bị văng ra khỏi kềm “biến mất”, trẻ có ho vài tiếng sau đó ổn định. Người nhà cho trẻ súc miệng nhiều lần nhưng không thấy răng đâu, nha sĩ nghĩ chắc trẻ nuốt vào đường tiêu hóa nên cho về.

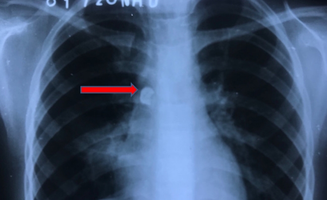
Hình ảnh X-quang phổi cho thấy dị vật nằm bên phải cạnh cột sống

Hai ngày đầu, trẻ sinh hoạt, học tập bình thường, những ngày sau, trẻ ho vài lần, người nhà đưa trẻ đi khám tư, uống thuốc 2 đợt vẫn không hết nên được bác sĩ cho đi chụp hình X-quang phổi. Ghi nhận dị vật cản quang nên đề nghị người nhà cho trẻ nhập viện, gia đình tức tốc đưa trẻ nhập bệnh viện Nhi đồng TP Hồ Chí Minh.

Bệnh nhi đang được điều trị tại BV Nhi đồng thành phố

Tại đây, các bác sĩ đã tiến hành nội soi phế quản gắp ra được chiếc răng 1 x 1 x 1 cm, chân răng cắm sâu vào thành phế quản trung gian phải, gây không ít khó khăn khi gắp. Sau 30 phút can thiệp, các bác sĩ đã lấy được chiếc răng ra khỏi đường thở của em bé trong sự thở phào nhẹ nhõm. Chiếc răng to, chiếm hết lòng phế quản góc phải, bám chặt vào thành phế quản, gây ra nguy cơ thủng phế quản khi nội soi can thiệp. Sau gắp dị vật trẻ được chuyển khoa hồi sức ngoại điều trị tiếp một ngày, sau đó cai máy thở, tỉnh táo.


H.Nga-N.Cảnh

Những ngày gần đây, báo chí và mạng xã hội ở xứ Kim Chi cũng như Việt Nam vẫn dành sự quan tâm về chuyến thăm Việt Nam cuối tháng 4/2026 của Tổng thống Hàn Quốc Lee Jae Myung và Phu nhân Kim Hae Kyung. Đặc biệt, hình ảnh vợ chồng tổng thống thảnh thơi bách bộ phố cổ Hà Nội và thưởng thức món phở, cơm rang, kem... nhận được sự tán thưởng hào hứng của người dân cũng như cộng đồng mạng ở cả hai nước.

Thông qua Cơ sở dữ liệu quốc gia về dân cư, Công an xã Quỳnh Phú, tỉnh Nghệ An viết nên câu chuyện đầy xúc động khi giúp gia đình anh Nguyễn Quỳnh Thắng (SN1981) trú tại xã Kiến Hưng, TP Hải Phòng tìm lại được hài cốt và danh tính của Liệt sĩ Nguyễn Viết Điều…

Tuần qua, cái tên Phạm Thị Đoan Trang lại “nổi sóng” khi nhiều trang mạng chống phá ở hải ngoại khui lên như là một minh chứng điển hình để “chào hàng” nhân ngày tự do báo chí thế giới (3/5).  

Công an tỉnh Tuyên Quang đề nghị người dân các thôn, xã lân cận nếu phát hiện dấu vết hoặc có thông tin về ông Triệu Chàn Tá, người đang mất tích hai ngày nay, nhanh chóng báo ngay cho Công an xã Bắc Quang, SĐT: 0982.291.819 hoặc cơ quan Công an gần nhất.

Chuyên gia cho rằng để việc khấu trừ thuế 10% thu nhập vãng lai hiệu quả, không làm khó người lao động, thì giải pháp căn cơ là phải tận dụng dữ liệu eTax để tự động hoá khâu quyết toán và hoàn thuế cho mọi đối tượng. Đó là hướng đi hiện đại, giảm phiền hà, tăng công bằng và hiệu quả.

Đèo Vi Ô Lắc trên Quốc lộ 24 (tỉnh Quảng Ngãi) có chiều dài khoảng 30km, độ cao hơn 1.300m so với mực nước biển từ lâu đã được giới tài xế truyền tai nhau là “cung đường tử thần”. Thời gian gần đây, số vụ tai nạn giao thông (TNGT) tại khu vực này có dấu hiệu gia tăng, đặt ra yêu cầu cấp bách về việc chấn chỉnh ý thức lái xe và hạ tầng giao thông tại khu vực đèo này.

Sự hiện diện của người đứng đầu WHO diễn ra ngay trước thời điểm sơ tán hành khách khỏi con tàu du lịch MV Hondius, nơi phát hiện virus Hanta khiến ba người tử vong, không chỉ mang tính chất giám sát chuyên môn mà còn là một động thái chính trị và nhân đạo quan trọng nhằm đảm bảo sự an toàn tuyệt đối cho cư dân địa phương cũng như gần 150 hành khách đang mắc kẹt trên tàu.

Đối với hầu hết các bậc cha mẹ, trẻ em là hạnh phúc của gia đình, là tương lai của xã hội nên cần dành tình yêu thương, che chở, chăm sóc, dạy dỗ tốt nhất. Tuy nhiên, vẫn còn những trường hợp lại xem thành viên nhỏ là gánh nặng, gây cản trở công việc làm ăn nên cứ mỗi khi gặp phải những vấp váp trong cuộc sống là trút những trận đòn roi, thậm chí dùng nhục hình lên cơ thể các cháu để xả giận.

Lễ bốc thăm chia bảng Vòng chung kết Asian Cup 2027 diễn ra tối 9/5 tại Riyadh, Arab Saudi (tức rạng sáng 10/5 giờ Hà Nội). Kết quả bốc thăm đưa ĐTQG Việt Nam vào bảng E cùng Hàn Quốc, UAE và đội thắng trong cặp play-off Lebanon/Yemen. Dù thử thách lớn, thầy trò HLV Kim Sang Sik vẫn có cơ hội cạnh tranh vé đi tiếp.

©2004. Bản quyền thuộc về Báo Công An Nhân Dân.
®Không sao chép dưới mọi hình thức khi chưa có sự đồng ý bằng văn bản của Báo Công An Nhân Dân.
English | 中文